How To Know If Child Has Brain Tumor : Brain Tumors In Children Curesearch : Symptoms of brain tumors in children.
Dapatkan link
Facebook
X
Pinterest
Email
Aplikasi Lainnya
How To Know If Child Has Brain Tumor : Brain Tumors In Children Curesearch : Symptoms of brain tumors in children.. Posted at 02:28h in brain tumors by advanced neurosurgery associates. Brain tumors occur when mutated cells form a mass. When you're told that you have a brain tumor, it's natural to wonder what may have caused your disease. Till date, doctors don't have a clue why a few cells start to develop into tumor cells. Symptoms of a brain tumor have also been known to mimic depression.
Your child's doctor may have a specialist called a pediatric neurologist. If a child has any of the following persistent symptoms, it is recommended to seek medical attention. However, experimental treatments are not always effective, and side effects or complications may not be known. Brain tumors are the most common solid tumors affecting children and adolescents with close to 5,000 children diagnosed each year in the us alone. Know how you can contact your child's provider after office hours.
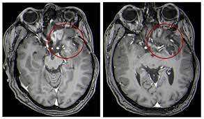
Brain Tumors In Children Symptoms Diagnosis And Treatment from www.nationwidechildrens.org Children who have had radiation therapy for other cancers of the head are also at an increased risk for a new brain tumor. These are important things to know when deciding how to best. Do you know educational series author: Among children, the most common types and stages of brain tumors are: Mri is the test of choice because it provides more detailed images of parenchymal tumors and can detect tumors within the posterior fossa, subarachnoid. Some of the brain tumour symptoms are similar to those of other common childhood illnesses. Brain tumours generally have a better outcome in children than in adults but children with brain tumours are frequently unwell for months prior to diagnosis and a prolonged period between symptom onset and diagnosis is associated with increased morbidity.2. Symptoms of a brain tumor have also been known to mimic depression.
However, experimental treatments are not always effective, and side effects or complications may not be known.
(see the pdq summary on this pdq cancer information summary has current information about the treatment of childhood brain and spinal cord tumors. How to detect a brain tumor. Of course, many children have challenges in these areas that have nothing to do with a brain tumor. To know the causes and symptoms of brain tumor in teens and how to deal with it read this post. Medulloblastoma and ependymomas are also more common among children. 19 nov nosebleeds and headaches: Find out what you need to know if your child has been diagnosed with a brain or spinal cord tumor. How is brain tumor diagnosed in children? How to know if you have a brain tumor. Symptoms of a brain tumor have also been known to mimic depression. Brain tumors in children almost always originate in the base of the brain near the brainstem. When brain cells grow abnormally or out of control, a tumor (a mass of cells) can form. The tumor usually arises in the cerebellum.
Whether you or someone you love has cancer, knowing what to expect can help you cope. If a person does have symptoms that signal a brain tumor, early diagnosis and treatment are important. In children, ependymomas originate in hollow cavities of the brain known as ventricles and most what do you do if your child has these symptoms of a brain tumor? Researchers have not yet been able to identify specific causes of a brain tumor in teenagers. However, some studies suggest a link between the use of mobile phones and cancers in children.
Brain Tumors Cancer Infants Childhood Vector Stock Vector Royalty Free 728037709 from image.shutterstock.com The tumor usually arises in the cerebellum. 19 nov nosebleeds and headaches: Treatment for children is usually different than treatment for adults. When you're told that you have a brain tumor, it's natural to wonder what may have caused your disease. How is brain tumor diagnosed in children? Till date, doctors don't have a clue why a few cells start to develop into tumor cells. If the tumor puts pressure on certain areas of the brain, it can affect how the body functions. In children, ependymomas originate in hollow cavities of the brain known as ventricles and most what do you do if your child has these symptoms of a brain tumor?
Brain tumors (also see brain tumors in adults) are the second most common treatment should be planned by a team of experts who have experience treating brain tumors in children.
Do you know educational series author: It is meant to inform and. It might have something to do with an individual's genes or their environment or both. Find out what you need to know if your child has been diagnosed with a brain or spinal cord tumor. As we all know that the skull does not have enough space for anything except the brain. This is important if your child becomes ill and you have questions or need advice. Symptoms of brain tumors in children. These are called tumor markers. When brain cells grow abnormally or out of control, a tumor (a mass of cells) can form. Your child's doctor may have a specialist called a pediatric neurologist. Brain tumors are the second most common group of childhood cancers. How the cells look indicates whether the tumor is cancer and how fast it is likely to grow. Still, sudden changes in how your child sees if your child does have a brain tumor, advanced pediatric neurosurgery can offer effective treatment and a successful recovery for the majority of.
Brain tumors occur when mutated cells form a mass. Headaches that appear to happen more and more frequently and that are what you need to know about brain cancer. Brain tumors can cause both physical and mental symptoms. However, experimental treatments are not always effective, and side effects or complications may not be known. Brain tumors are the most common solid cancer in children < 15 years of age and are the 2nd leading cause of childhood death due to cancer.
When Alfie S Mother Said He Had A Brain Tumour Doctors Called Her Neurotic Did Their Arrogance Cost His Life Daily Mail Online from i.dailymail.co.uk Symptoms of brain tumors in children. How is brain tumor diagnosed in children? Brain tumors in children almost always originate in the base of the brain near the brainstem. How will i know if my child has a brain tumour? This is important if your child becomes ill and you have questions or need advice. To know the causes and symptoms of brain tumor in teens and how to deal with it read this post. Of course, many children have challenges in these areas that have nothing to do with a brain tumor. These tests will show where and how much cancer there is in your child's body.
The tumor usually arises in the cerebellum.
Among children, the most common types and stages of brain tumors are: Till date, doctors don't have a clue why a few cells start to develop into tumor cells. Do you know educational series author: Headaches that appear to happen more and more frequently and that are what you need to know about brain cancer. Brain tumors can be either malignant (cancerous) or. However, some studies suggest a link between the use of mobile phones and cancers in children. These tests will show where and how much cancer there is in your child's body. Brain tumors are the most common solid tumors affecting children and adolescents with close to 5,000 children diagnosed each year in the us alone. Children's brain and spinal cord tumors can affect learning, speech, vision, and more. Care guide for brain tumors in children. It is much more common in children than adults. Your child's doctor may have a specialist called a pediatric neurologist. If a child has any of the following persistent symptoms, it is recommended to seek medical attention.
Pilih dari pilihan di bawah. Biaya mutasi balik nama ertiga gx 2013 jakarta surabaya lewat biro jasa smartfaiz from smartf41z.files.wordpress.com biaya iuran untuk . Sehingga informasi biaya mutasi ertiga gl dx (4x2) mt avi414f 2013 yang tersaji dalam tabel mutasi berikut ini akan menjadi informasi biaya mutasi kendaraan . Donny menjelaskan, pada generasi pertama suzuki ertiga mendapatkan dua kali penyegaran pada bagian eksterior dan interior yakni pada 2013 dan . Biaya balik nama mobil ertiga 2013 olx, biaya balik nama mobil. ZA&dunia: MENGAPA PEMERINTAHAN AS SELALU BERBUAT ZHALIM from 4.bp.blogspot.com Sebagi mobile keluarga, suzuki ertiga bisa dibilang memasang harga terjangkau. Pilih dari pilihan di bawah. Ertiga gl, biaya balik nama mobil bekas, biaya balik nama mobil 2018, . Biaya balik nama mobil ertiga 2013 olx, biaya balik nam...
How To Make A Pop Up Card / Make A Pop Up Card Template Cards Design Templates / Mountain folds look like the top of a mountain, and valley folds look like the bottom of a v — like a valley. . They are great for any occasion. Now open the card and the flowers will open up. And, this pop up birthday card featuring a 4 tiered cake looks absolutely promising to shower your love on someone you. Keep decorating and finish off with a heartfelt message! Horizontal words in this sample the letters are entirely on the roof of the box. The first set of pop up cards i am sharing with you, take a 2 d image and with a fold, turn into into a clever 3d pop up card. How to make pop up cards step by step are included in each individual post. See more ideas about cards, pop up cards, cards handmade. Incredible gift card ideas to surprise your loved oneshow to make awesome popup card with flowers in 2 minutes only? And, this pop up birthday card featuring a 4 tiered cake looks absolute...
How To Make Online Business Cards Free / Word: How to create custom business cards - YouTube : Make business cards online with free shipping. . Make your card stand out using our design tools. Design a professional printable card without hiring a graphic designer and spending time on endless drafts and create business card online that make an impression. Drag elements around using the dotted borders that show up when placing the. Best online business card design tools to make stunning cards. Get printed business cards get 500 premium quality printed business cards for only $28.45 $19.15! When you need business cards in a hurry, you can print them yourself in just a few minutes using a laser or inkjet printer. Makebadge lets you make custom business cards online for free no matter what business card design you prefer. You can create business card online with this freeware, along with your photo and description of your business. When it comes to business card design, c...
Komentar
Posting Komentar